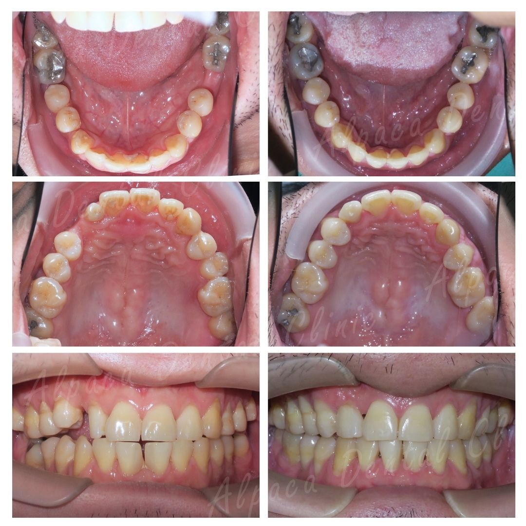
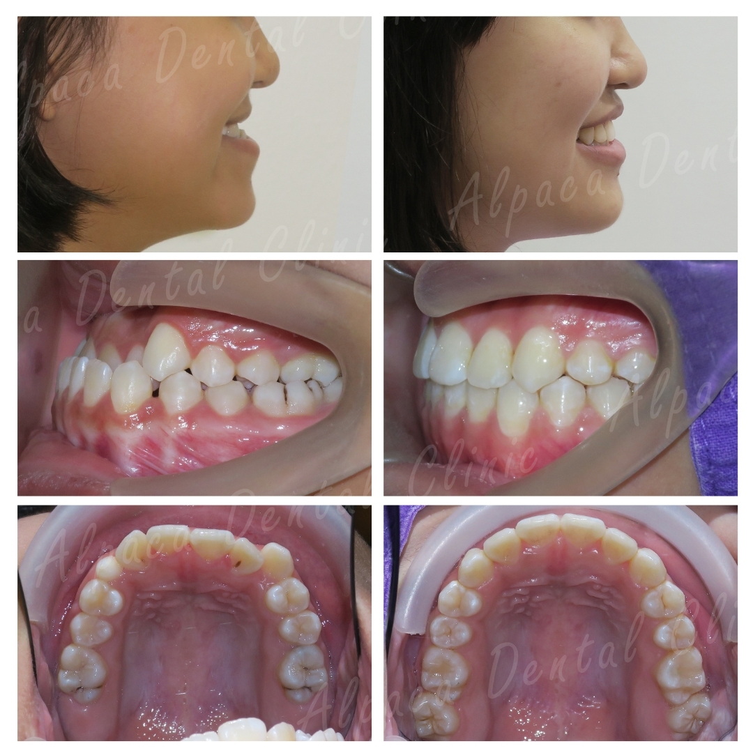
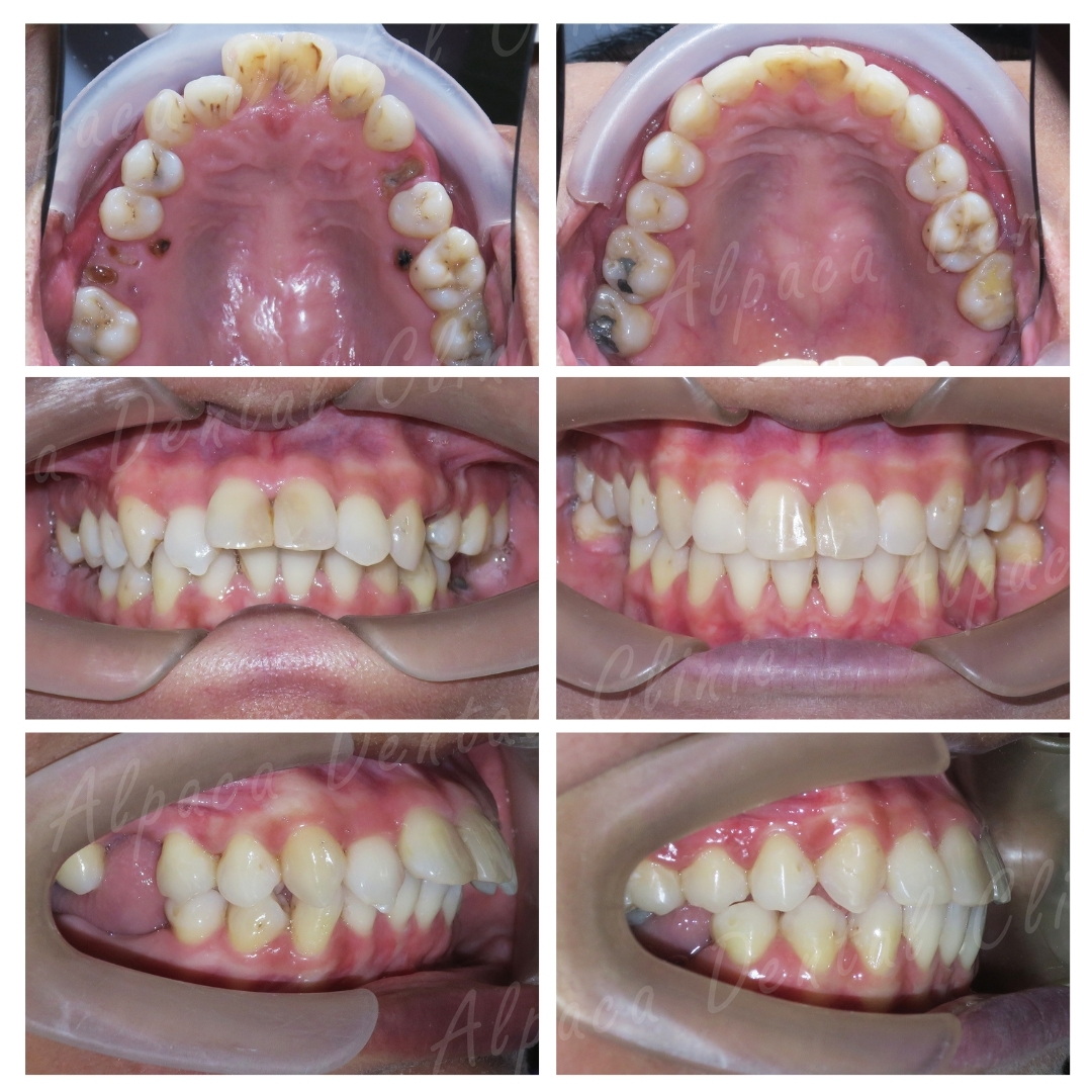
Case review : Alpaca dental clinic ตัวอย่างเคสจัดฟัน ที่ได้รับการรักษาจากคลินิกทันตกรรมอัลปาก้าฟันคร่อมในเด็ก (Anterior crossbite in children)ฟันคร่อม (Anterior crossbite)ฟันห่าง (Spacing)ฟันซ้อน (Crowding)ฟันยื่น (Protrusion) ฟันคร่อมในเด็ก (Anterior crossbite in children) ฟันคร่อม (Anterior crossbite) การรักษาฟันหน้าล่างคร่อมฟันหน้าบน อาจไม่ใช่แค่เพื่อความสวยงาม แต่ยังส่งผลช่วยในเรื่องการบดเคี้ยวด้วยฟันหน้า และการออกเสียงอีกด้วย ฟันห่าง (Spacing) ฟันซ้อน (Crowding) ฟันยื่น (Protrusion)