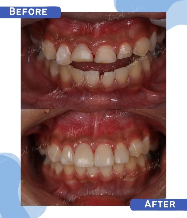
Esthetic review : Alpaca dental clinic ตัวอย่างเคสรักษาฟันหน้า ที่ได้รับการรักษาจากคลินิกทันตกรรมอัลปาก้าอุดฟันหน้า อุดปิดช่อง (Diastema closure)คอมโพสิตวีเนียร์ (Composite veneer)เซรามิกวีเนียร์ (Ceramic veneer) อุดฟันหน้า อุดปิดช่อง (Anterior teeth filling, Diastema closure) กรณีที่ฟันหน้าผุ หรือแตก มีช่องว่าง สามารถใช้วัสดุอุดสีเหมือนฟันอุดได้ โดยเลือกใช้สีที่เหมือนกับซี่ฟันของแต่ละคน คอมโพสิต วีเนียร์ (Composite Veneer) คอมโพสิต วีเนียร์ (Composite veneer) เป็นการเปลี่ยนขนาดและปรับทรงฟัน ด้วยวัสดุอุดสีเหมือนฟัน สามารถทำได้ภายในครั้งเดียวและราคาถูก แต่สีอาจจะเปลี่ยนได้ภายใน 5 ปี จากการทานอาหาร เซรามิก วีเนียร์ (Ceramic Veneer) เซรามิก วีเนียร์ (Ceramic Veneer) เป็นการเปลี่ยนขนาดและปรับทรงฟัน ด้วยวัสดุเซรามิก (Ceramic) ต้องใช้เวลาในการทำประมาณ 2-4 ครั้ง มีราคาสูงกว่า คอมโพสิต วีเนียร์ และสีไม่เปลี่ยนเมื่อใช้งานเป็นระยะเวลานาน