รีวิวฟันปลอม : Alpaca dental clinic

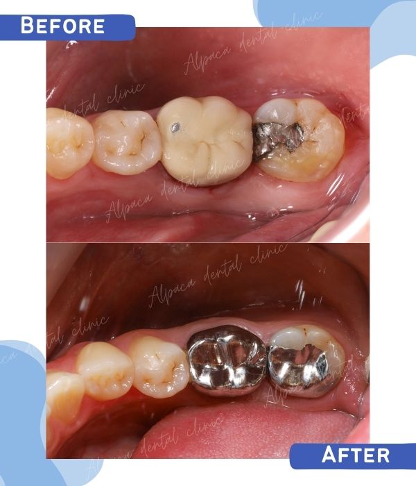
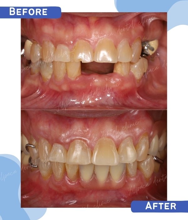
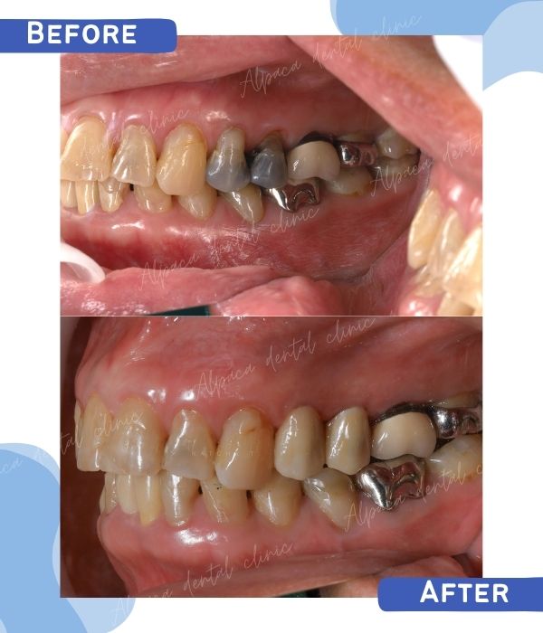
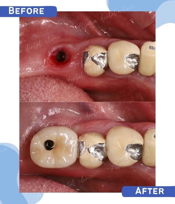
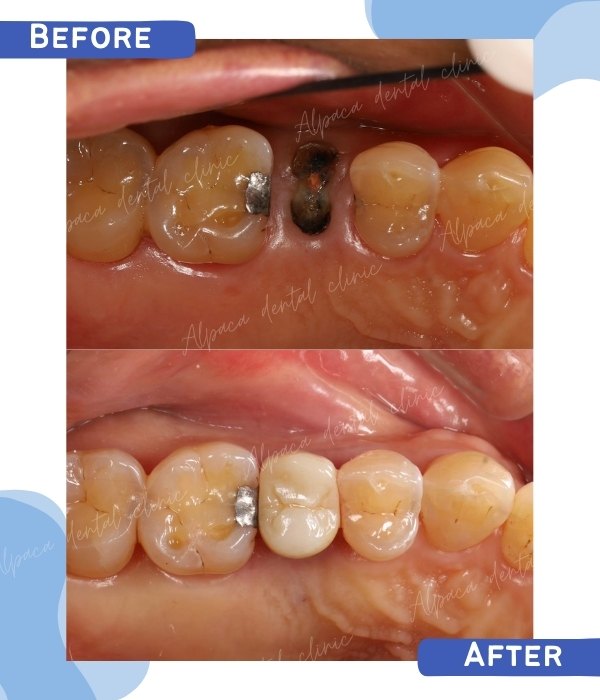
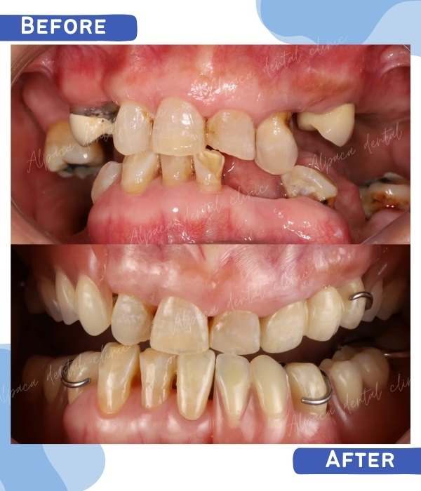
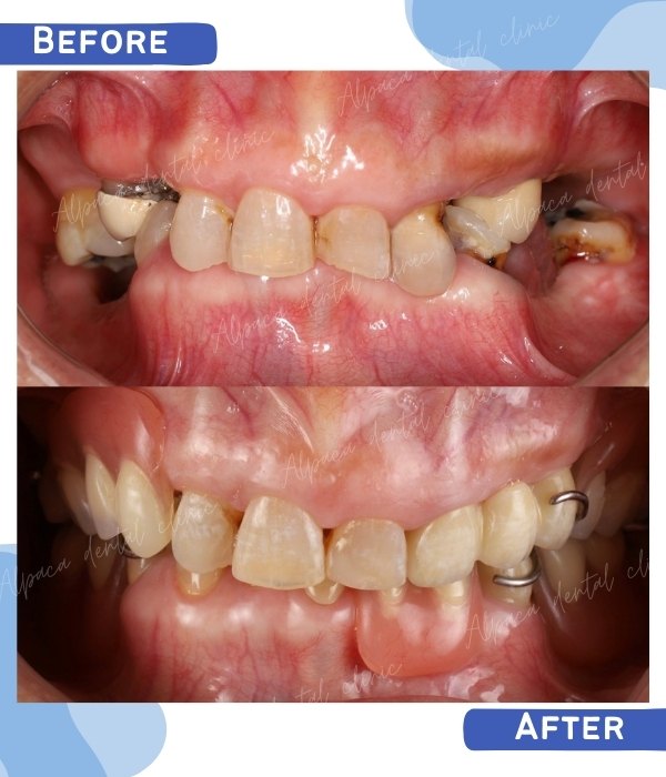
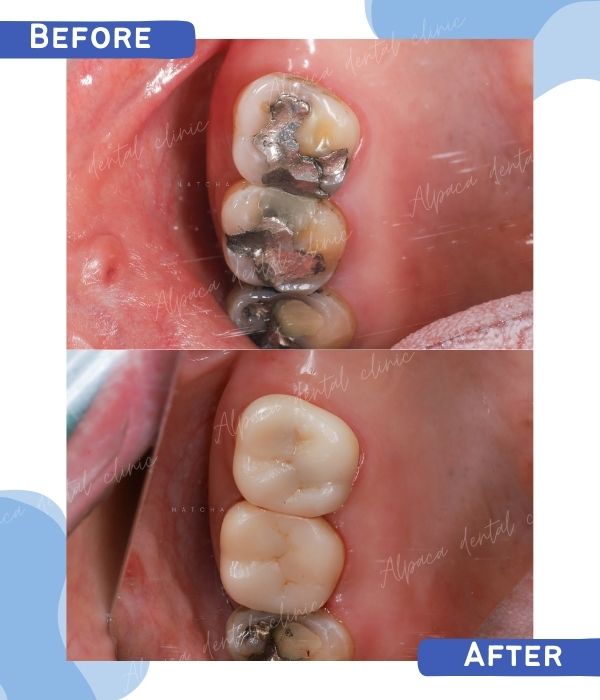
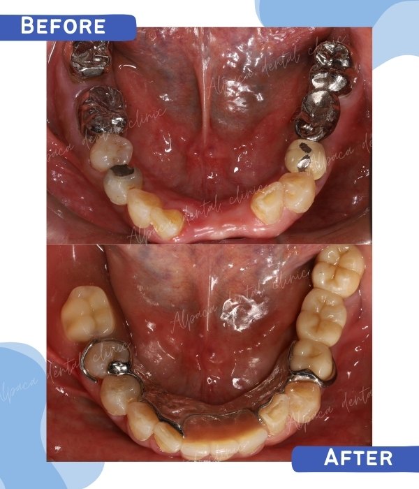
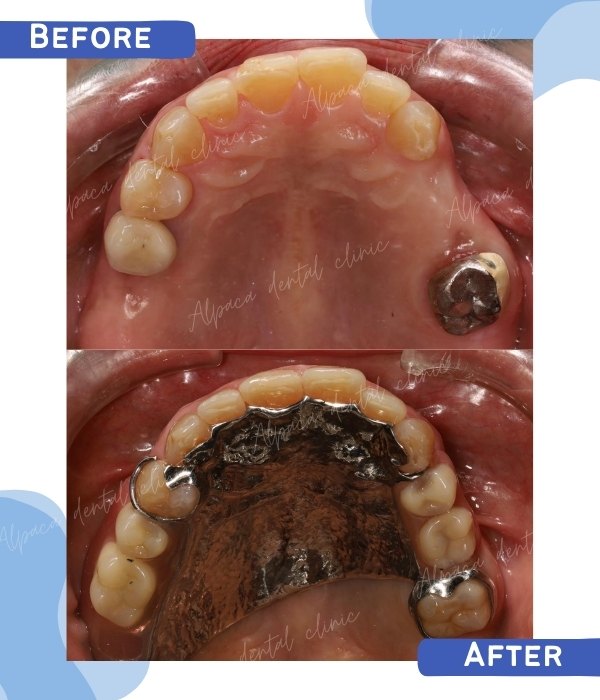
ตัวอย่างเคสรักษาฟันปลอมถอดได้ ฟันปลอมติดแน่น รากเทียม ที่ได้รับการรักษาจากคลินิกทันตกรรมอัลปาก้า โดยเคสส่วนใหญ่เป็นเคสที่ได้รับการรักษาแบบบูรณาการ ใช้งานร่วมกันระหว่างฟันปลอมถอดได้ ครอบฟันรวมถึงรากเทียม เพื่อให้ทุกท่านสามารถเคี้ยวได้ดี ในราคาที่เหมาะสม

Scroll to Top