Resin Infiltration

       จุดขาวๆบนฟัน หรือในบางครั้งมีสีน้ำตาลเข้ามาปะปนด้วย ทำให้ฟันดูไม่สวย ดูไม่สะอาด แปรงเท่าไหร่ก็ไม่ออก ให้คุณหมอฟันขัดให้ก็ยังขัดไม่ออก วันนี้เรามาทำความเข้าใจกันค่ะ ว่าจุดขาวพวกนี้เกิดจากอะไร และมีแนวทางในการรักษาอย่างไร 

 

        รอยจุดขาวหรือสีน้ำตาลบนตัวฟัน เกิดจากผิวเคลือบฟันมีการสะสมแร่ธาติไม่สมบูรณ์ หรือมีการสูญเสียแร่ธาตุ (Demineralisation)  ซึ่งเกิดขึ้นได้จากหลายสาเหตุ แต่ละสาเหตุจะส่งผลต่อความรุนแรงของความผิดปกติของโครงสร้างผิวเคลือบฟันที่แตกต่างกันไป การแยกประเภทของรอยจุดด่างขาวจึงเป็นส่วนที่สำคัญในการวางแผนการรักษาเป็นอย่างมากเพื่อให้การรักษาประสบความสำเร็จ ซึ่งต้องอาศัยประสบการณ์และความเชี่ยวชาญของทันตแพทย์เป็นอย่างมาก ซึ่งสาเหตุหลักๆของการเกิดรอยด่างขาวบนผิวฟันมีดังนี้ 

 

ฟันตกกระ (Fluorosis): เกิดจากการได้รับฟลูออไรด์มากเกินไปในช่วงที่ฟันกำลังสร้างแร่ธาตุ ซึ่งมักได้รับมาจากแหล่งน้ำดื่มที่มีฟลูออไรด์มากเกินไป มักจะเป็นทั้งด้านซ้ายและขวาเหมือนๆกัน มักจะมีลักษณะสีขาวฟุ้งๆ ขอบเขตไม่ชัดเจน บางครั้งเป็นสีขาวแนวเป็นเส้นแนวขวาง ไปจนถึงจุดสีน้ำตาลหรือผิวฟันขรุขระในกรณีที่เป็นรุนแรง 

 

การขาดแร่ธาตุจากอุบัติเหตุ (Traumatic Hypomineralisation): เกิดจากอุบัติเหตุหรือการติดเชื้อที่ฟันน้ำนม ซึ่งส่งผลกระทบต่อการสร้างฟันแท้ที่อยู่ข้างใต้ มักเป็นเพียงซี่เดียวและไม่สมมาตร

 

การสูญเสียแร่ธาตุจากการจัดฟัน (Demineralisation): มักเกิดจากการทำความสะอาดฟันไม่ดีพอในช่วงที่จัดฟัน ทำให้มีคราบจุลินทรีย์สะสมรอบๆ เครื่องมือจัดฟัน หรือ เป็นเส้นสีขาวตามแนวขอบเหงือก 

 

ความผิดปกติของเคลือบฟันกรามและฟันหน้า (MIH): เป็นความผิดปกติของการสะสมแร่ธาตุในชั้นผิวเคลือบฟัน รอยโรคจะมีขอบเขตที่ชัดเจน มีสีตั้งแต่สีขาวครีมไปจนถึงสีเหลืองหรือน้ำตาลได้ ยิ่งสีเข้มก็มักจะแสดงถึงการสูญเสียแร่ธาตุที่รุนแรงมากขึ้น ในบางรายจะมีอาการเสียวฟันร่วมด้วย และสิ่งที่สำคัญคือเราจะพบความผิดปกติที่ฟันกรามด้วย โดยที่สาเหตุของความผิดปกตินี้ยังไม่แน่ชัด แต่คาดว่าเกิดจากทางพันธุกรรม ความเจ็บป่วยในวัยเด็กรุนแรง การติดเชื้อของคุณแม่ในขณะที่ตั้งครรภ์ ทารกแรกเกิดมีน้ำหนักน้อย เป็นต้น 

เจาะลึกถึงโครงสร้างความผิดปกติของเคลือบฟันที่มีสีด่างขาว

      สีด่างขาวบนผิวฟันนั้น ไม่ได้มาจากมีสีขาวจริงๆอยู่บนผิวฟัน แต่เป็นผิวเคลือบฟันที่สะสมแร่ธาตุน้อยกว่าปกติ คล้ายๆกับมีฟองอากาศจำนวนมากอยู่ในผิวกระจก ก็จะทำให้เกิดการหักเหแสงบริเวณดังกล่าวผิดไปเป็นสีขาว  ดังนั้นถ้าเรานำสารบางอย่างเข้าไปเติมเต็มรูพรุนเล็กๆเหล่านั้นได้ ผิวฟันก็จะกลับมาเป็นปกติ  

 

      เทคโนโลยีเรซิน อินฟิลเทรชั่น (resin infiltration) คืออะไร 

เป็นเทคโนโลยีลบรอยด่างขาวบนตัวฟันโดยไม่ต้องทำลายผิวฟัน หรืออาจมีการกรอฟันเพียงเล็กน้อย ในรายที่มีความผิดปกติค่อนข้างมาก หลักการคือนำสารเรซิ่นชนิดเหลวพิเศษ เข้าไปเติมเต็มรูพรุนๆบนผิวเคลือบฟันที่เป็นรอยด่างขาว สารเรซินนี้มีความพิเศษ คือมีความใสเท่าๆกับเคลือบฟันปกติ เลยจะสะท้อนแสงแบบเดียวกับเคลือบฟันปกติ พูดง่ายๆก็คือจะเลียนแบบสีของเคลือบฟันที่อยู่ใกล้เคียง ไม่จำเป็นต้องเทียบสีฟันแบบวัสดุอุดฟัน

ข้อดีของการใช้เรซินอินฟิลเทรชั่น

  • หากเป็นรอยด่างขาวที่อยู่ตื้นๆไม่จำเป็นต้องกรอฟัน หรือกรอออกเพียงเล็กน้อย ไม่จำเป็นต้องกรอออกทั้งหมดเหมือนกับวิธีการอุดฟัน ซึ่งเรียกเทคนิคนี้ว่า deep infilltration ทำให้การรักษารอยด่างขาวในชั้นลึก ซึ่งมักพบในรอยด่างขาวที่เกิดจาก MIH  ได้อย่างมีประสิทธิภาพมากขึ้น 
  • ไม่เจ็บ ไม่จำเป็นต้องฉีดยาชา สามารถทำในเด็กได้ 
  • ทำเสร็จไวภายในครั้งเดียว ประมาณ 15-45 นาที ขึ้นกับจำนวนซี่ที่ทำ และลักษณะความผิดปกติ
  • สีฟันดูเป็นธรรมชาติ (natural look)
  • ช่วยหยุดการลุกลามในกรณีที่เป็นรอยด่างขาวจากฟันผุในระยะเริ่มต้น

ข้อควรพิจารณาก่อนการรักษา

  • หากเป็นรอยด่างขาวที่อยู่ตื้นๆไม่จำเป็นต้องกรอฟัน หรือกรอออกเพียงเล็กน้อย ไม่จำเป็นต้องกรอออกทั้งหมดเหมือนกับวิธีการอุดฟัน ซึ่งเรียกเทคนิคนี้ว่า deep infilltration ทำให้การรักษารอยด่างขาวในชั้นลึก ซึ่งมักพบในรอยด่างขาวที่เกิดจาก MIH  ได้อย่างมีประสิทธิภาพมากขึ้น 
  • ไม่เจ็บ ไม่จำเป็นต้องฉีดยาชา สามารถทำในเด็กได้ 
  • ทำเสร็จไวภายในครั้งเดียว ประมาณ 15-45 นาที ขึ้นกับจำนวนซี่ที่ทำ และลักษณะความผิดปกติ
  • สีฟันดูเป็นธรรมชาติ (natural look)
  • ช่วยหยุดการลุกลามในกรณีที่เป็นรอยด่างขาวจากฟันผุในระยะเริ่มต้น

ขั้นตอนการรักษา

  • ทำความสะอาด: เตรียมผิวฟันให้พร้อม
  • เปิดรูพรุน: ใช้น้ำยาชนิดพิเศษเปิดผิวฟันเล็กน้อยเพื่อให้เรซิ่นซึมเข้าไปได้
  • เติมเรซิ่น: ทาสาร Resin Infiltration ลงไปให้ซึมลึกถึงภายใน
  • ฉายแสง: ใช้แสงสีฟ้าช่วยให้เรซิ่นแข็งตัว
  • ขัดเงา: ตกแต่งผิวฟันให้เรียบเนียน เงางาม

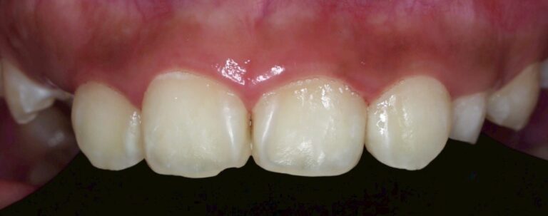
Before Resin Infiltration

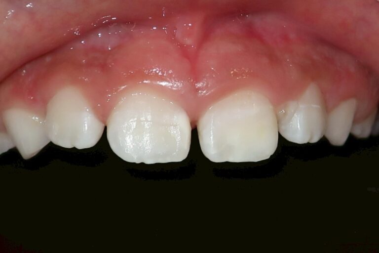
After Resin Infiltration

การดูแลในช่วงแรกหลังการรักษา

  • หลีกเลี่ยงสารที่ก่อให้เกิดคราบสี: ในช่วง 48 ชั่วโมงแรก หลังการรักษา ควรหลีกเลี่ยงอาหารและเครื่องดื่มที่อาจทำให้เกิดคราบสีบนผิวฟัน เนื่องจากเรซินอาจยังไวต่อการดูดซับสีจากภายนอกได้
  • ระมัดระวังเรื่องอาหารสีเข้ม: ควรจำกัดหรือระวังการบริโภคเครื่องดื่ม เช่น กาแฟ, ชา, ไวน์แดง, น้ำผลไม้เข้มข้น รวมถึงอาหารอย่าง ซอสมะเขือเทศ หรือบลูเบอร์รี่ เพราะอาจทำให้เรซินที่เคลือบไว้เกิดการเปลี่ยนสีได้ในระยะยาว

การดูแลรักษาความสะอาดและผลในระยะยาว

  • รักษาสุขอนามัยช่องปากอย่างเคร่งครัด: คราบจุลินทรีย์ (Plaque) ที่สะสมอาจทำให้เกิดการเสื่อมสภาพของเรซินหรือเกิดรอยด่างซ้ำได้ การทำความสะอาดฟันที่ดีช่วยลดความเสี่ยงของการเกิดคราบสีติดแน่น
  • การขัดผิวฟันโดยผู้เชี่ยวชาญ: หากพบว่าเริ่มมีคราบสีติดบริเวณที่ทำการรักษา การเข้ารับการ ขัดฟัน (Professional polishing) โดยทันตแพทย์สามารถช่วยขจัดคราบสีบนพื้นผิวและคืนความสวยงามให้เรซินได้
  • ความเสถียรของสี: ผลการรักษามักจะคงตัวได้นานถึง 24 เดือน หรือมากกว่านั้นหากดูแลดี แต่ในผู้ป่วยที่รักษาสุขอนามัยไม่ดี แปรงฟันไม่สะอาด หรือบริโภคเครื่องดื่มที่มีสีเข้มมาก อาจพบการเปลี่ยนสี (Color relapse) ได้เร็วกว่าปกติ

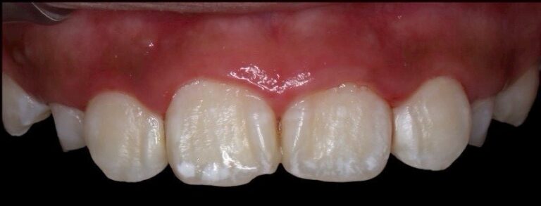
Before Resin Infiltration

After Resin Infiltration

นอกจากการใช้เรซินอินฟิลเทรชั่นแล้ว ยังมีการรักษารอยด่างขาวด้วยวิธีอื่นๆอีกเช่น

  • การฟอกสีฟัน (Whitening): ในกรณีที่ไม่รุนแรง การฟอกสีฟันช่วยให้สีฟันดูสม่ำเสมอและพรางจุดขาวให้ดูกลมกลืนได้
  • การเติมเรซิน (Resin Infiltration – ICON): เป็นนวัตกรรมที่ใช้เรซินความหนืดต่ำแทรกซึมเข้าไปในรูพรุนของเคลือบฟันที่ผิดปกติ เมื่อรูพรุนถูกเติมเต็ม ผิวเคลือบฟันจะมี ดัชนีหักเหของแสง (Refractive Index) ใกล้เคียงกับเคลือบฟันปกติ และสะท้อนสีกลมกลืนไปกับสีของผิวฟันที่ปกติ
  • การเติมแร่ธาตุ (Remineralisation): เช่น การใช้ฟลูออไรด์เข้มข้นสูง หรือผลิตภัณฑ์กลุ่ม CPP-ACP (เช่น Tooth Mousse) เพื่อช่วยผลักแร่ธาตุแคลเซียมและฟอสเฟตกลับเข้าสู่ผิวฟัน
  • การกรอขัดผิวฟัน (Micro-abrasion): ใช้กรดไฮโดรคลอริกขัดผิวเคลือบฟันชั้นบนที่ผิดปกติออก
  • การบูรณะฟัน (Restorations): หากการรักษาข้างต้นไม่ได้ผล อาจต้องใช้การอุดฟันด้วยคอมโพสิตเรซินหรือการทำวีเนียร์ (Indirect restoration)
Scroll to Top